Case Number : Case 746 - 25 Apr Posted By: Guest
Please read the clinical history and view the images by clicking on them before you proffer your diagnosis.
Submitted Date :
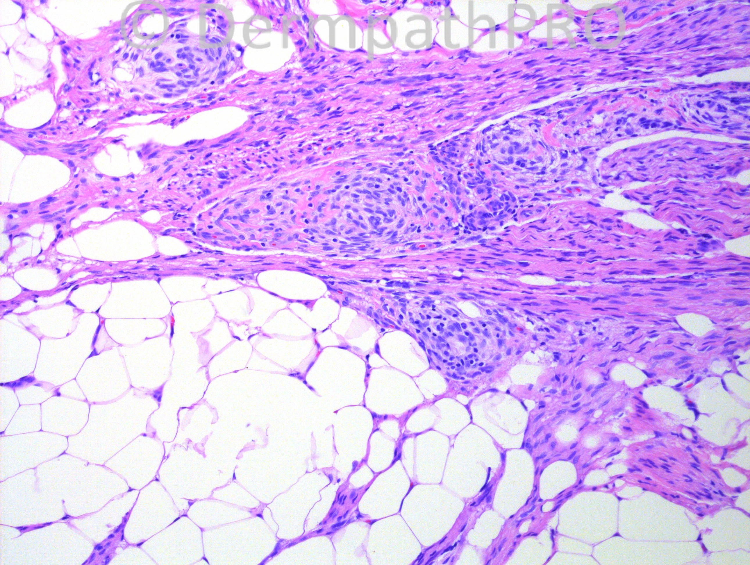
13 months-old Hispanic male with multiple left arm masses.
Case posted by Dr. Hafeez Diwan.
Case posted by Dr. Hafeez Diwan.

User Feedback