Case Number : Case 747 - 26 Apr Posted By: Guest
Please read the clinical history and view the images by clicking on them before you proffer your diagnosis.
Submitted Date :
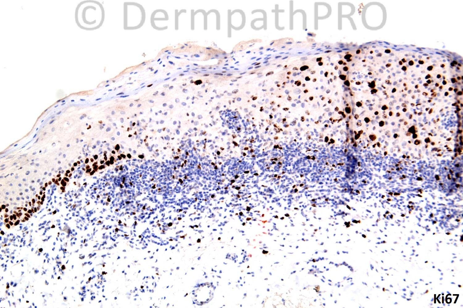
49 years-old male. Inflammatory macule ?eczema ?psoriasis.
Case posted by Dr. Richard Carr.
Case posted by Dr. Richard Carr.

User Feedback