Case Number : Case 678 - 18 Jan Posted By: Guest
Please read the clinical history and view the images by clicking on them before you proffer your diagnosis.
Submitted Date :
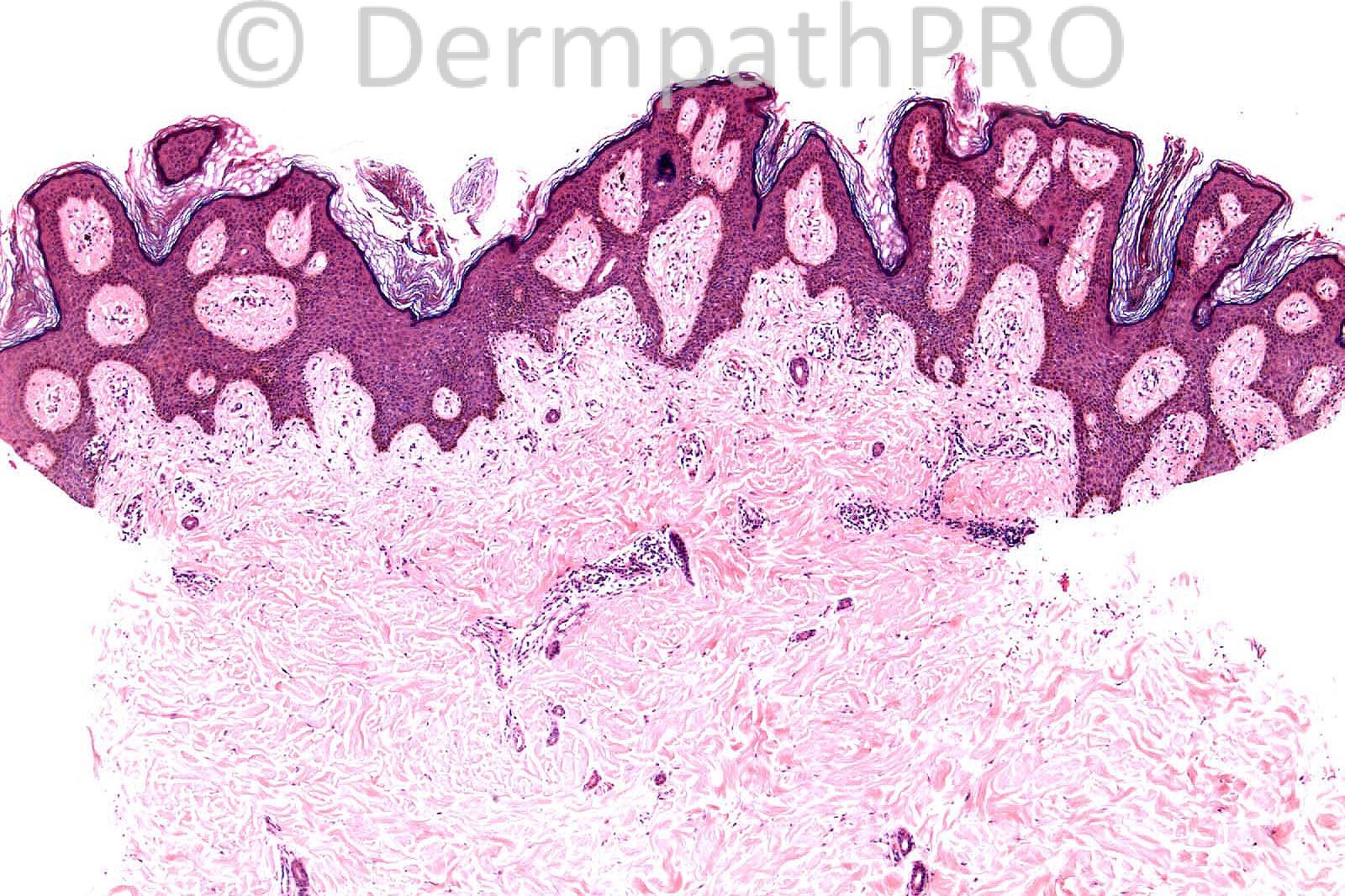
32 years-old female. 8 years linear verrucous pigmented lesion 20x2 cm. Mid line abdomen spanning umbilicus.
Case posted by Dr. Richard Carr.
Case posted by Dr. Richard Carr.

User Feedback