Case Number : Case 776 - 7th June Posted By: Guest
Please read the clinical history and view the images by clicking on them before you proffer your diagnosis.
Submitted Date :
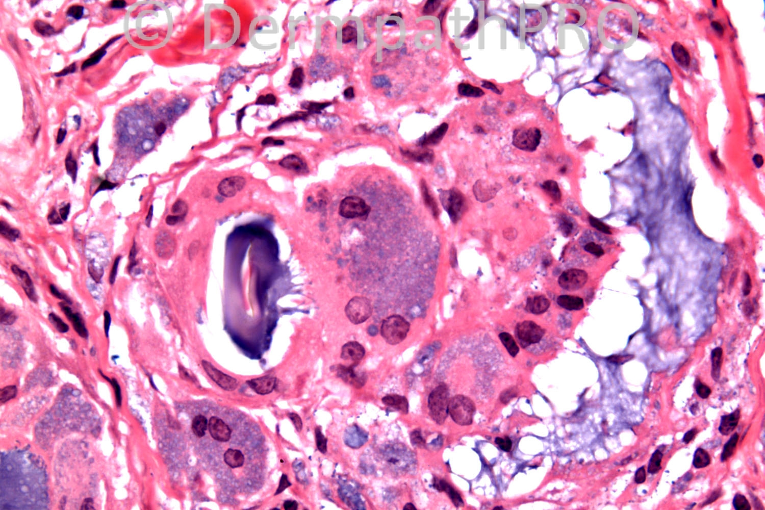
41 years-old female, submucosal creamy plaques L and R. Lower lip/commissure regions.
Case posted by Dr. Richard Carr.
Case posted by Dr. Richard Carr.

User Feedback