Case Number : Case 785 - 20th June Posted By: Guest
Please read the clinical history and view the images by clicking on them before you proffer your diagnosis.
Submitted Date :
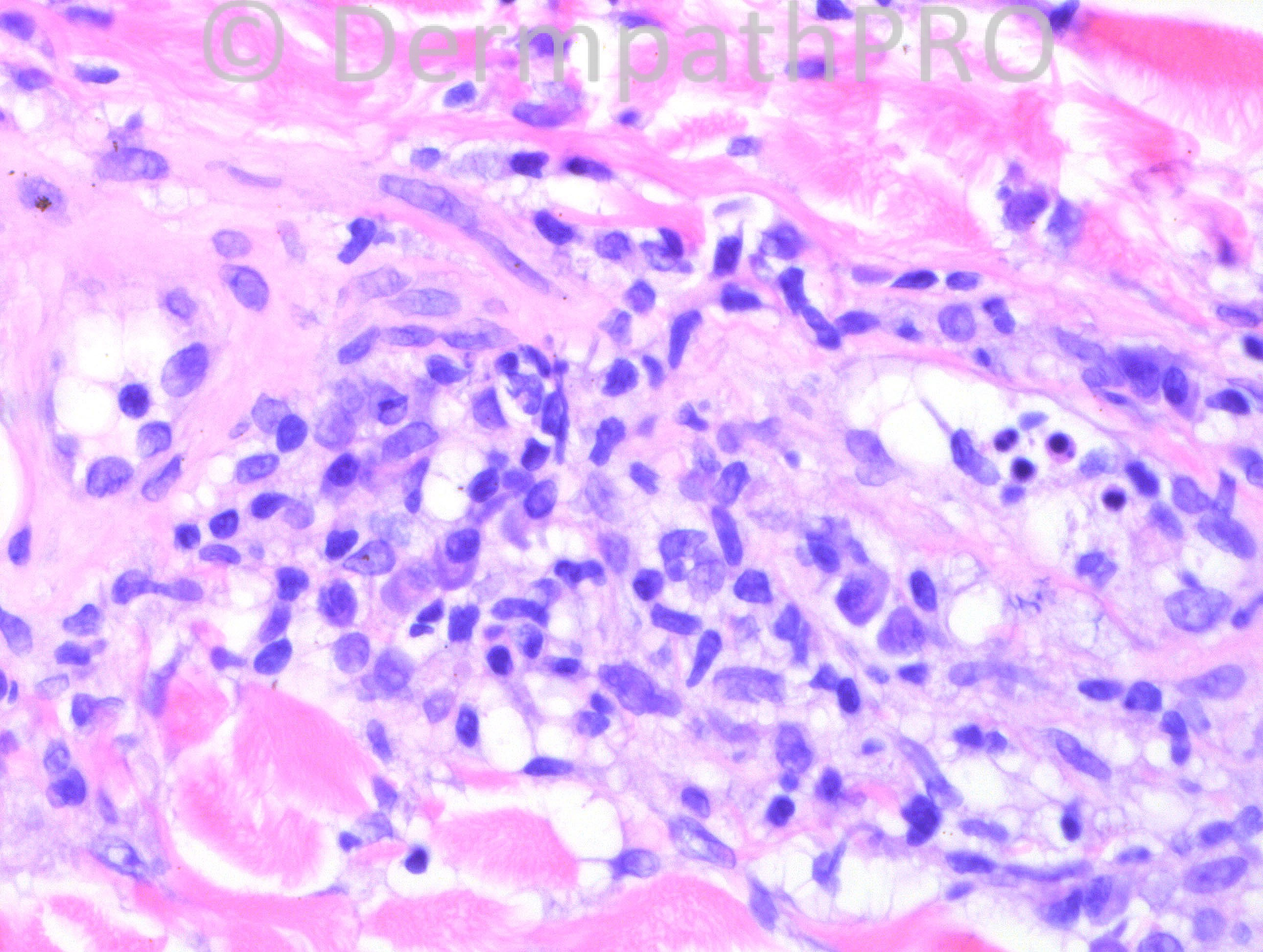
22 years-old female with lesion on shin.
Case posted by Dr. Hafeez Diwan.
Case posted by Dr. Hafeez Diwan.

User Feedback