Case Number : Case 712 - 8 Mar Posted By: Guest
Please read the clinical history and view the images by clicking on them before you proffer your diagnosis.
Submitted Date :
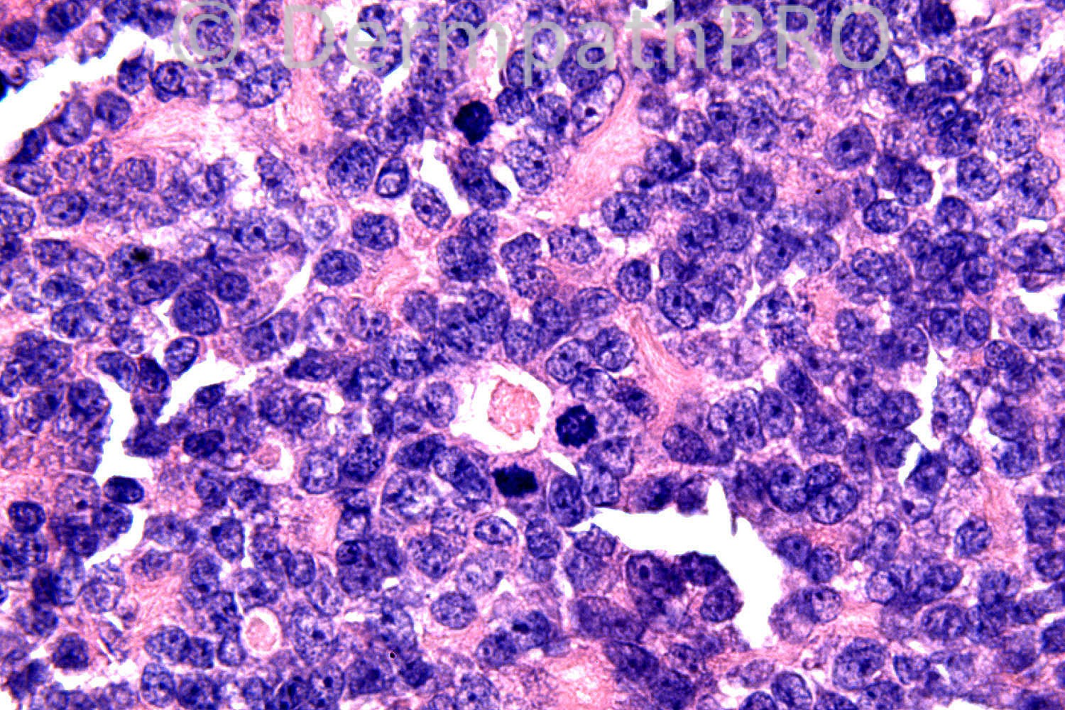
54 years-old male. Scalp. Tumour at vertex. ?Appendageal.
Case posted by Dr. Richard Carr
Case posted by Dr. Richard Carr

User Feedback