Case Number : Case 713 - 11 Mar Posted By: Guest
Please read the clinical history and view the images by clicking on them before you proffer your diagnosis.
Submitted Date :
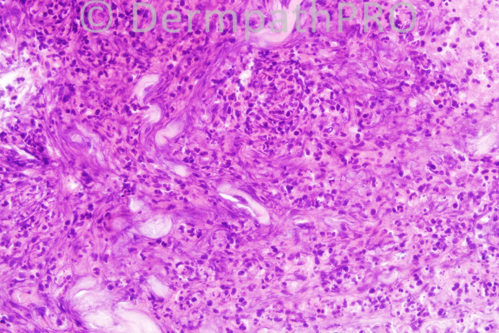
42 years-old male with erythema and edema of the hand.

User Feedback