Case Number : Case 762 - 20th May Posted By: Guest
        Please read the clinical history and view the images by clicking on them before you proffer your diagnosis.
    
    
              	
					Submitted Date : 
              	
                
            
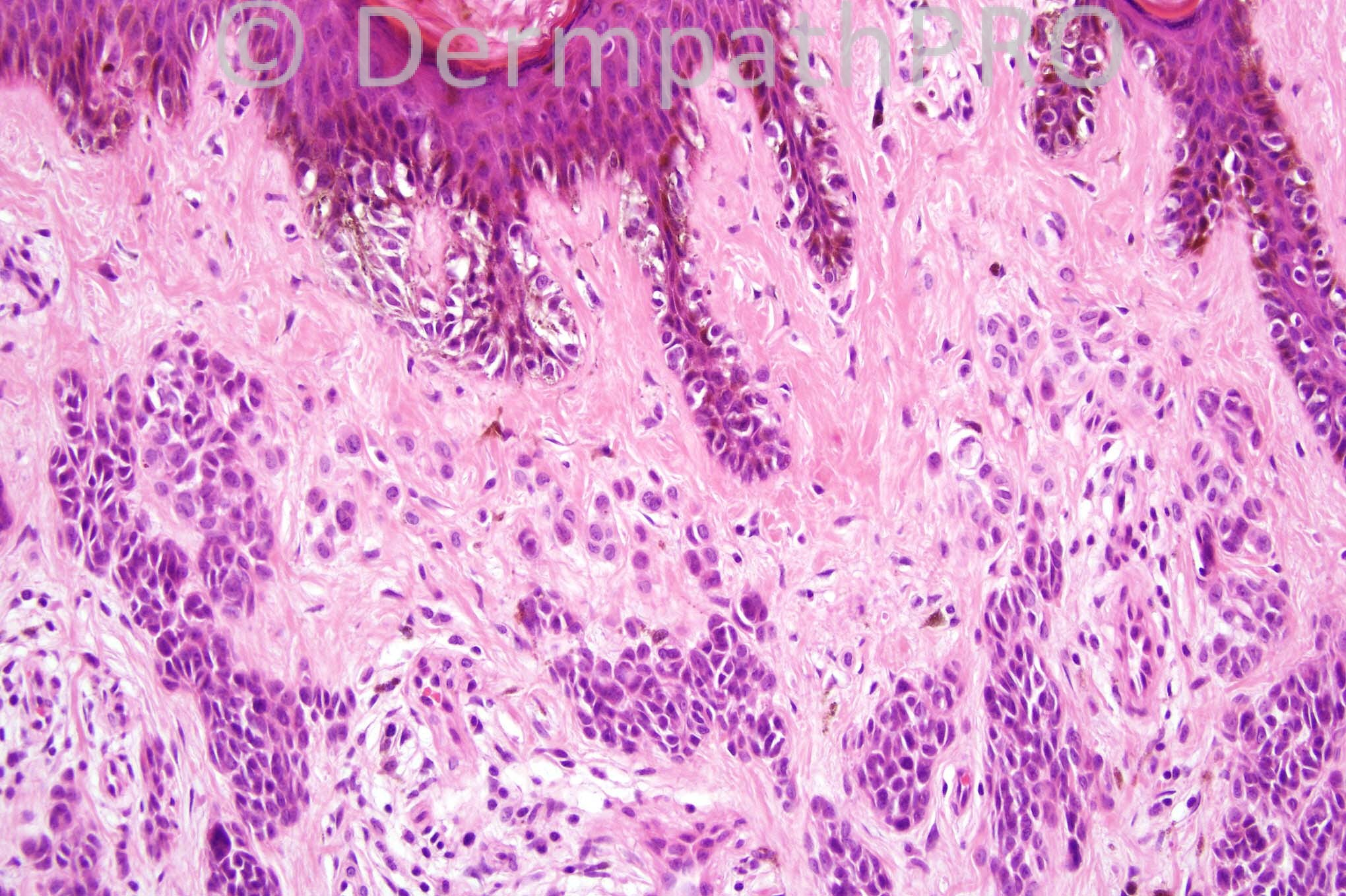
            12 years-old male with a pigmented lesion on the right leg

 
               
               
               
              
User Feedback