Case Number : Case 765 - 23rd May Posted By: Guest
        Please read the clinical history and view the images by clicking on them before you proffer your diagnosis.
    
    
              	
					Submitted Date : 
              	
                
            
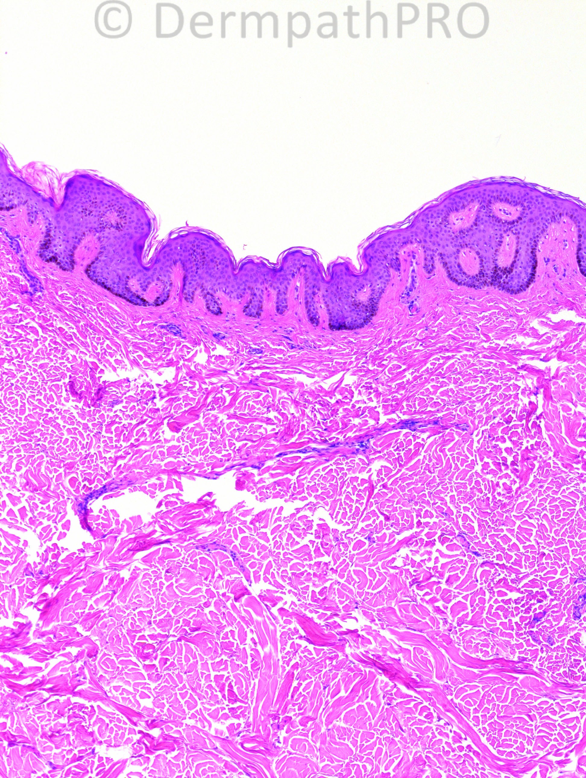
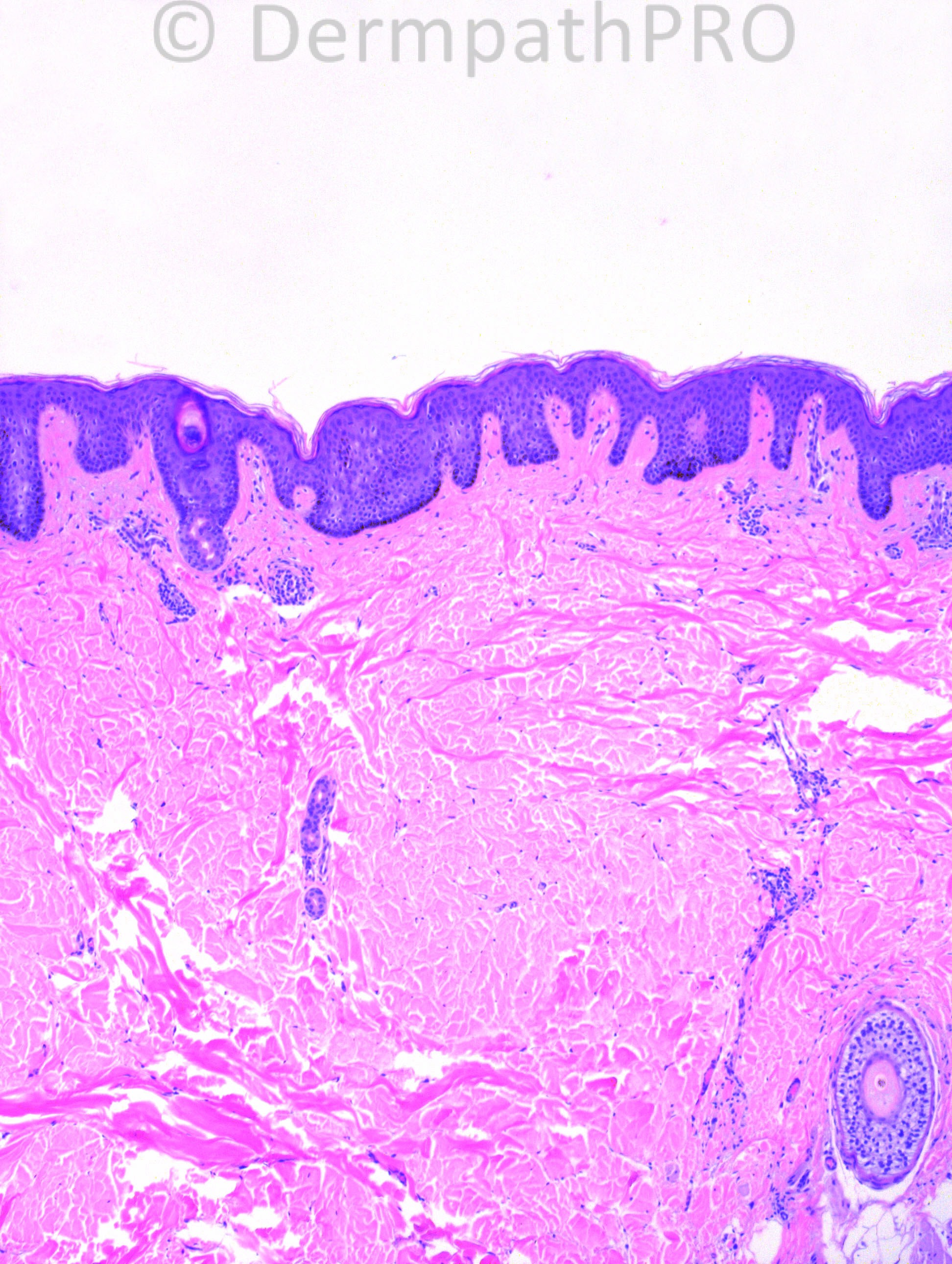
            52 years-old female with left back lesion: a dimpled, soft plaque.
Case posted by Dr. Hafeez Diwan.
Case posted by Dr. Hafeez Diwan.

 
               
               
               
              
User Feedback