Case Number : CASE 4245 - 28 April 2023 Posted By: Iskander H. Chaudhry
Please read the clinical history and view the images by clicking on them before you proffer your diagnosis.
Submitted Date :
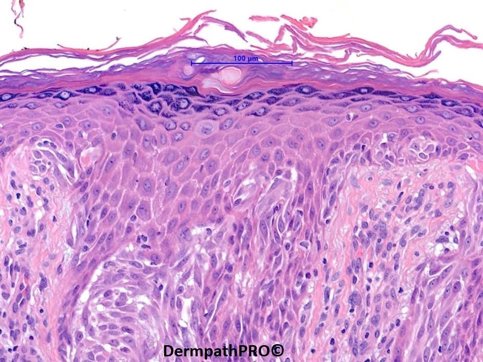
36 F, Left elbow inner aspect excision biopsy.

Join the conversation
You can post now and register later. If you have an account, sign in now to post with your account.