Jump to content
In this section we have spot diagnoses posted on a daily basis since June 2010, now over 4000! You can review the archived cases and read the suggested diagnoses by users and the final comment by the contributors.
Case are uploaded each week day by 10 am UK time with the correct diagnosis will generally be posted at 8 pm UK time. Why not view the most recent spot diagnosis and proffer a diagnosis?

Case Number : CASE 4322 - 15 August 2023 Posted By: Uma Sundram

Please read the clinical history and view the images by clicking on them before you proffer your diagnosis.
Submitted Date :
   (0 reviews)

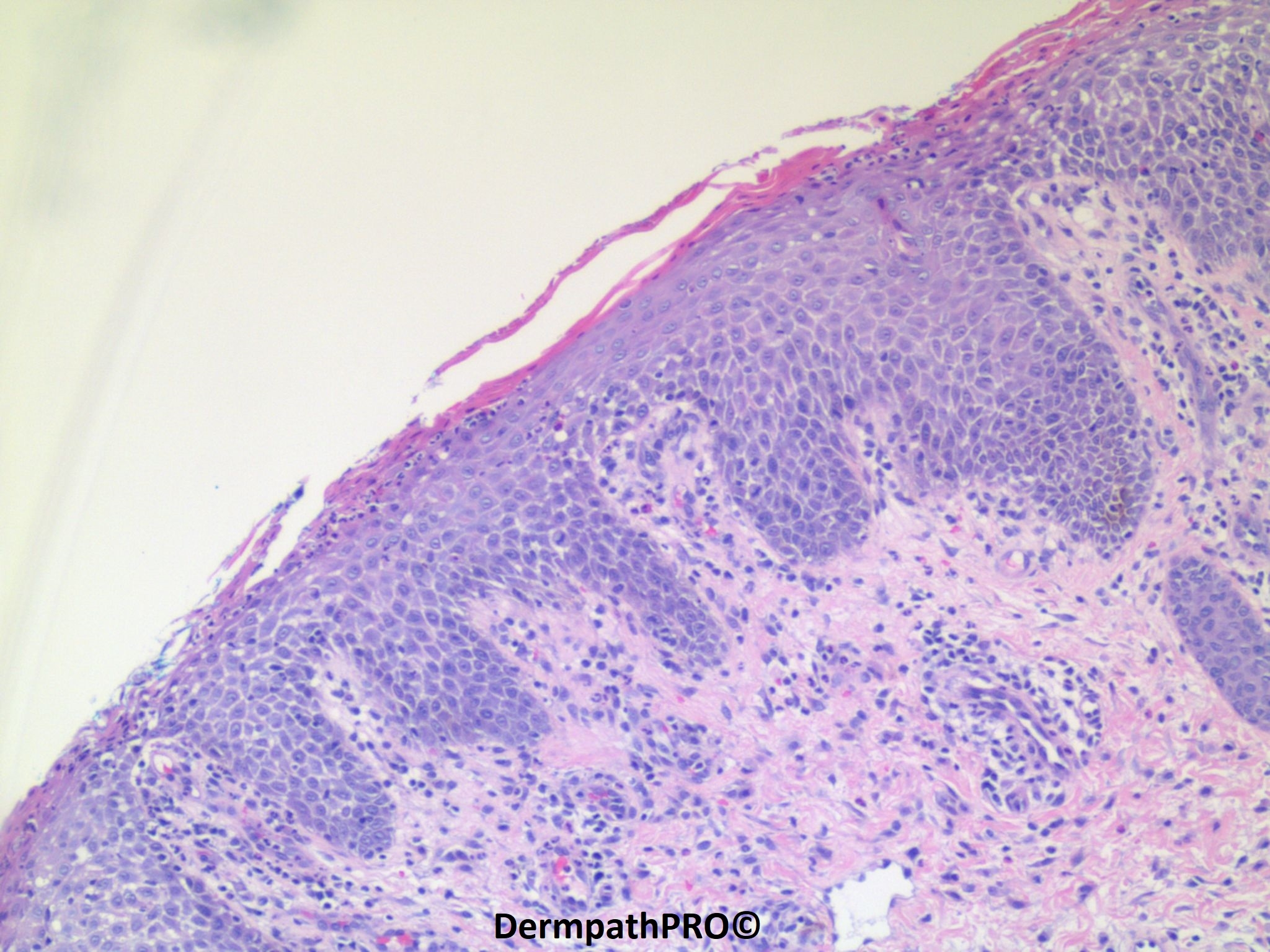
20-year-old Arabic male with history of "eczema". Used oral steroids and topical. Stopped after 2 to 3 days with reflare with total body erythroderma. Exfoliative.


  Report Record

User Feedback


Uma Sundram

Posted

Subcorneal pustules with eosinophils was the final diagnosis. We reviewed the patient's clinical photographs and spoke with the clinician. Our differential diagnosis included: an erythrodermic version of a spongiotic dermatitis, such as atopic dermatitis, contact dermatitis, or drug hypersensitivity reaction; an unusual presentation of acute generalized exanthematous pustulosis (AGEP); a subtle presentation of a primary autoimmune blistering disease (i.e., pemphigus foliaceus). Psoriasis and mycosis fungoides were not favored.

Share this comment


Link to comment
share_externally



Join the conversation

You can post now and register later. If you have an account, sign in now to post with your account.

Guest
Add a comment...

×   Pasted as rich text.   Paste as plain text instead

  Only 75 emoji are allowed.

×   Your link has been automatically embedded.   Display as a link instead

×   Your previous content has been restored.   Clear editor

×   You cannot paste images directly. Upload or insert images from URL.

Loading...

×
×
  • Create New...