Case Number : Case 4193 - 15 February 2023 Posted By: Dr. Hafeez Diwan
Please read the clinical history and view the images by clicking on them before you proffer your diagnosis.
Submitted Date :
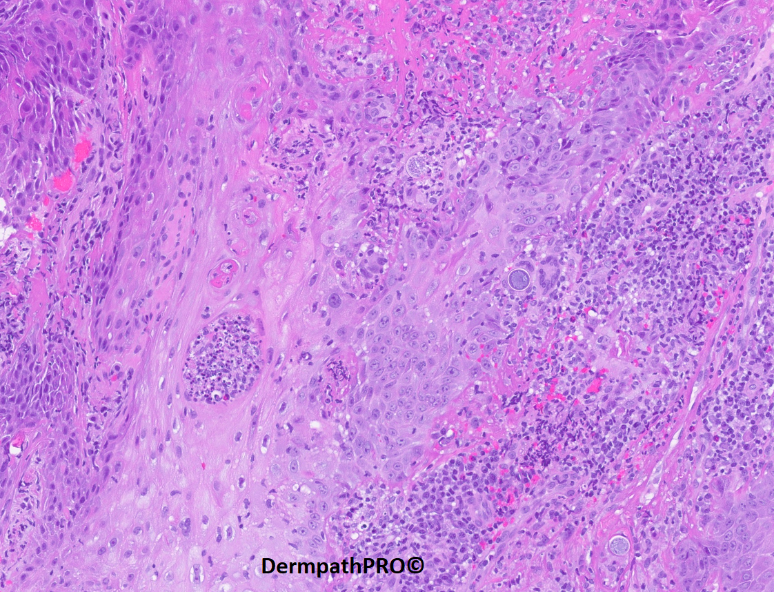
51 year-old male who has been developing large crusted ulcerative lesions starting on wrists, later spreading to the chest. Patient recalls cleaning a very dirty porch some time prior to developing these.

Join the conversation
You can post now and register later. If you have an account, sign in now to post with your account.