-
1
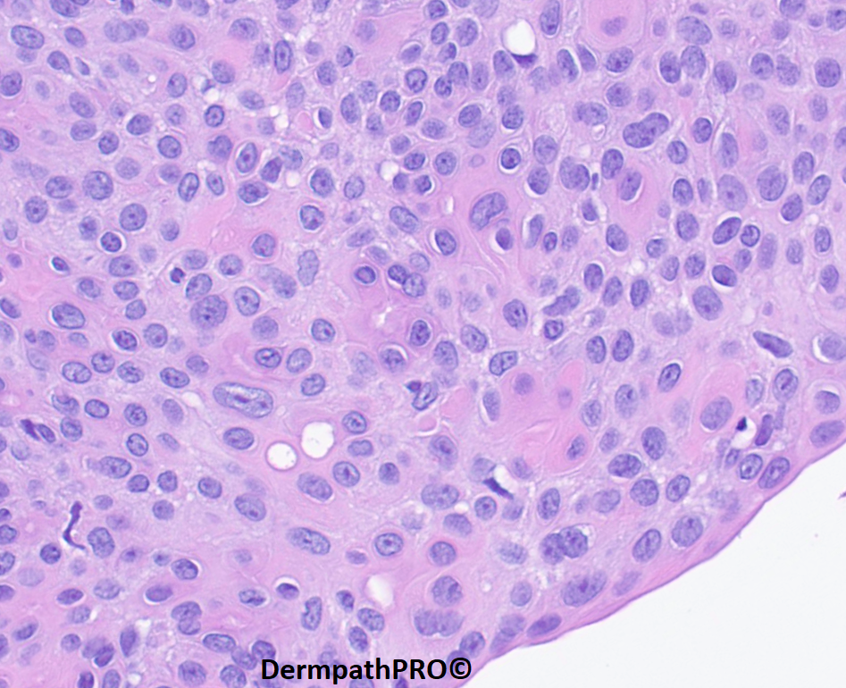
Case Number : CASE 4253 - 10 May 2023 Posted By: Dr. Hafeez Diwan
Please read the clinical history and view the images by clicking on them before you proffer your diagnosis.
Submitted Date :
59 year-old male with right gluteal crease skin tag

Join the conversation
You can post now and register later. If you have an account, sign in now to post with your account.