Case Number : CASE 4566 - 17 December 2024 Posted By: Admin_Dermpath
Please read the clinical history and view the images by clicking on them before you proffer your diagnosis.
Submitted Date :
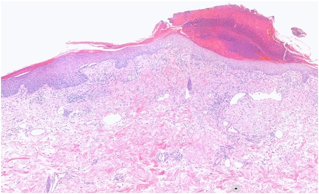
66 Years Male with Right Neck - 8 mm Punch Biopsy Rash to neck provoked by going on holidays in fleuves. Flares on neck withing 2 days of going on holiday. Does not get it UK. Uses sunscreen. Only thing different on holiday compared to UK is that he goes snorkelling. ?phototoxic reaction / ?fixed drug eruption

Join the conversation
You can post now and register later. If you have an account, sign in now to post with your account.