Case Number : CASE 4569 - 19 December 2024 Posted By: Admin_Dermpath
Please read the clinical history and view the images by clicking on them before you proffer your diagnosis.
Submitted Date :
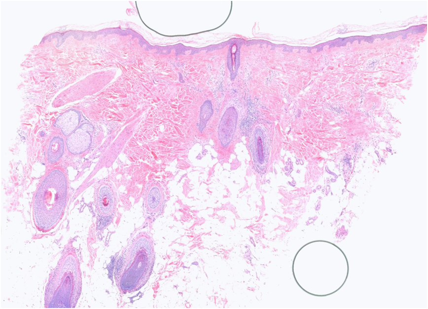
60 Year old female with frontal scalp - Incisional Biopsy for vertical sectioning Few months history of hair loss Bald patches with short hairs frontal and temporal hairline with areas of scanty

Join the conversation
You can post now and register later. If you have an account, sign in now to post with your account.