Case Number : CASE 4573 - 23 December 2024 Posted By: Admin_Dermpath
Please read the clinical history and view the images by clicking on them before you proffer your diagnosis.
Submitted Date :
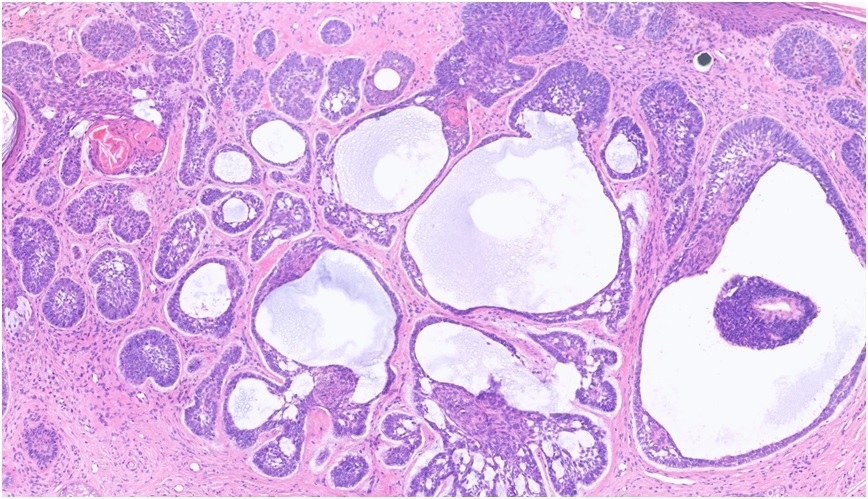
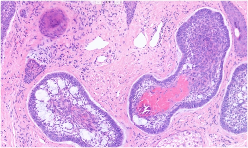
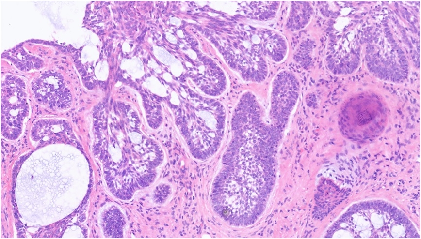
68M, 2VW - susp skin cancer. Lesion on tip of nose. Pigmented lesion with central regression, 4 mm in size. Hence removal of lesion using a 5 mm punch. DDx - naevus/melanoma. Sample 5 mm punch.

Join the conversation
You can post now and register later. If you have an account, sign in now to post with your account.