Jump to content
In this section we have spot diagnoses posted on a daily basis since June 2010, now over 4000! You can review the archived cases and read the suggested diagnoses by users and the final comment by the contributors.
Case are uploaded each week day by 10 am UK time with the correct diagnosis will generally be posted at 8 pm UK time. Why not view the most recent spot diagnosis and proffer a diagnosis?

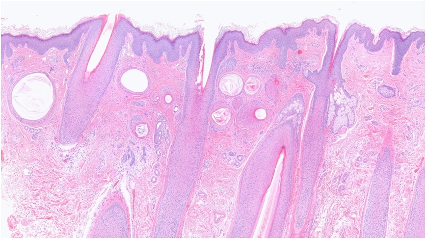
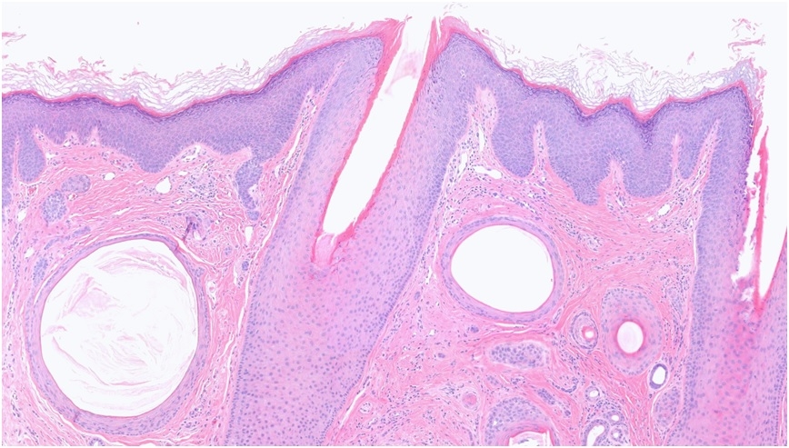
Case Number : CASE 4575 - 24 December 2024 Posted By: Admin_Dermpath

Please read the clinical history and view the images by clicking on them before you proffer your diagnosis.
Submitted Date :
   (0 reviews)

29M, Right side chin, punch excision 6 mm ?Cyst inflamed


  Report Record

User Feedback


msofopoulos

Posted

WSI revealed areas that looked like trichoadenoma

Share this comment


Link to comment
share_externally

Superficial aspect looks like trichoadenoma, but there is also a deeper component... ? desmoplastic trichoepithelioma ?MAC.

I am worried about MAC in this case.

Share this comment


Link to comment
share_externally

vincenzo

Posted

PMB-like stroma. Favour Desmoplastic TE. 

Share this comment


Link to comment
share_externally

smbaksh@psppath.com

Posted

Trichoepithelioma

Share this comment


Link to comment
share_externally



Join the conversation

You can post now and register later. If you have an account, sign in now to post with your account.

Guest
Add a comment...

×   Pasted as rich text.   Paste as plain text instead

  Only 75 emoji are allowed.

×   Your link has been automatically embedded.   Display as a link instead

×   Your previous content has been restored.   Clear editor

×   You cannot paste images directly. Upload or insert images from URL.

Loading...

×
×
  • Create New...