Case Number : CASE 4576 - 24 December 2024 Posted By: Iskander H. Chaudhry
Please read the clinical history and view the images by clicking on them before you proffer your diagnosis.
Submitted Date :
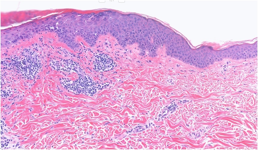
59F, Abdomen Biopsy Rash on torso; did respond to Elocon but recurred once treatment cease. Very small red/pink papules ?Guttate psoriasis

Join the conversation
You can post now and register later. If you have an account, sign in now to post with your account.