Case Number : CASE 4580 - 26 December 2024 Posted By: Admin_Dermpath
Please read the clinical history and view the images by clicking on them before you proffer your diagnosis.
Submitted Date :
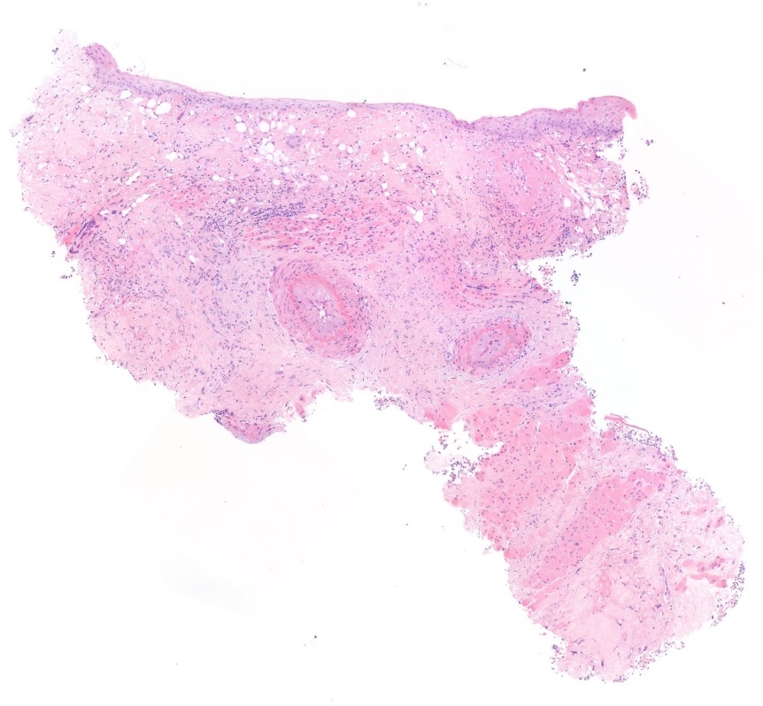
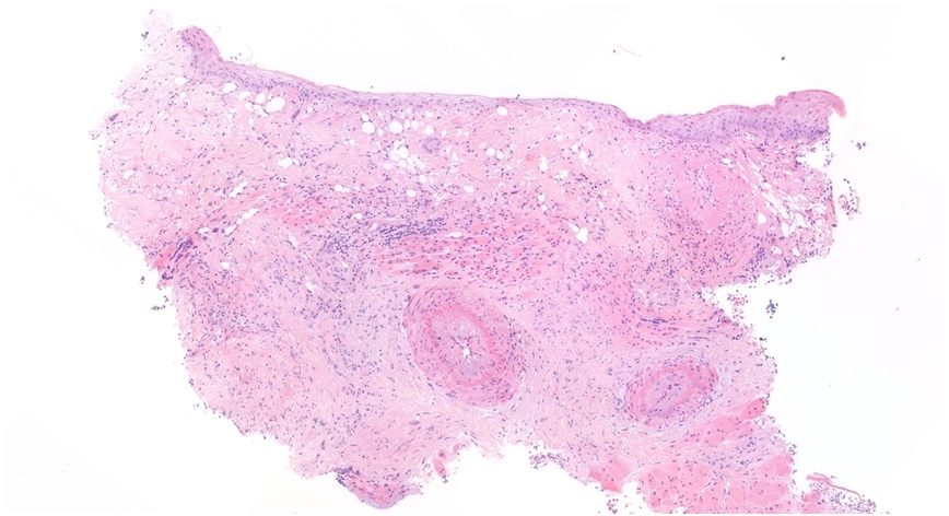
L nasal sidewall, biopsy. ?Recurrent BCC. ?Radiodermatitis. BCC previously treated with XRT.

Join the conversation
You can post now and register later. If you have an account, sign in now to post with your account.