Case Number : CASE 4587 - 28 December 2024 Posted By: Admin_Dermpath
Please read the clinical history and view the images by clicking on them before you proffer your diagnosis.
Submitted Date :
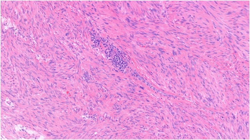
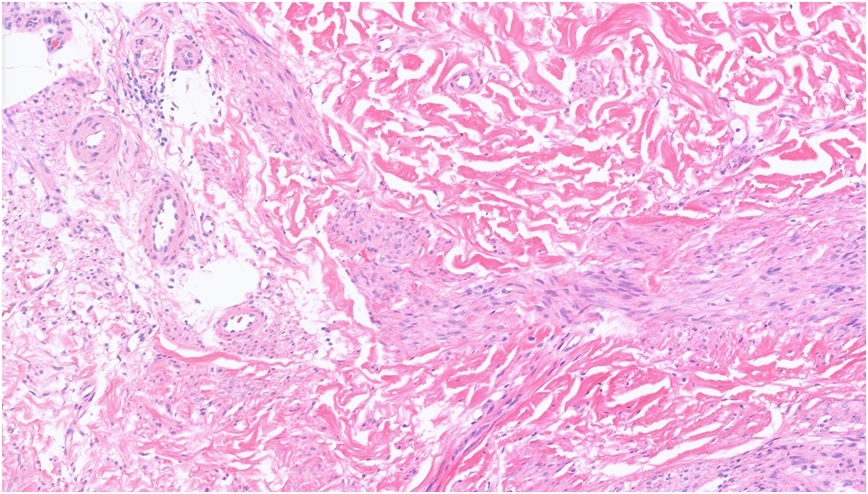
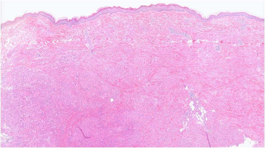
44F, Right shin Excision to exclude DFSP Dermatofibroma (13.10.22) Sudden recurrence of 2x tender lumps on this site; pink, tender 15 mm x 5 mm

Join the conversation
You can post now and register later. If you have an account, sign in now to post with your account.