Case Number : CASE 4588 - 28 December 2024 Posted By: Admin_Dermpath
Please read the clinical history and view the images by clicking on them before you proffer your diagnosis.
Submitted Date :
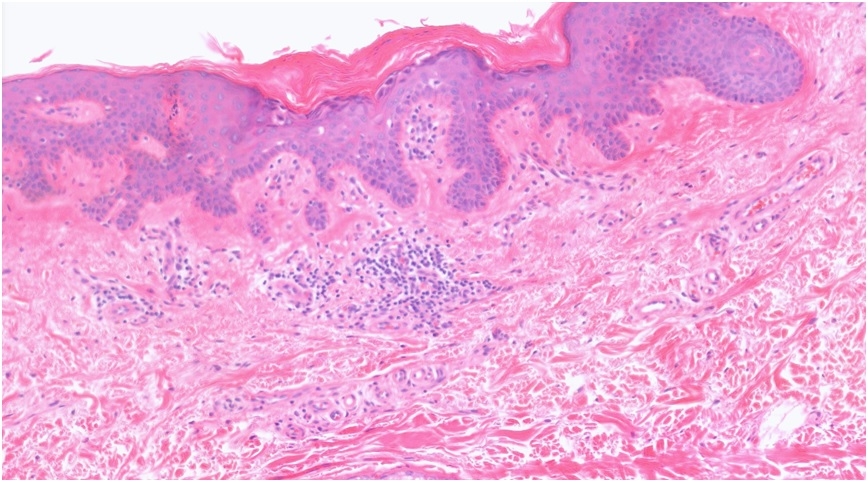
A: 74M, Mid back Biopsy Papular rash (chest and back) ?Grover's disease B: IMF

Join the conversation
You can post now and register later. If you have an account, sign in now to post with your account.