Case Number : CASE 4589 - 28 December 2024 Posted By: Admin_Dermpath
Please read the clinical history and view the images by clicking on them before you proffer your diagnosis.
Submitted Date :
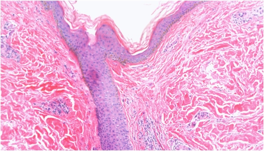
41M, Left lower leg - Punch biopsy, Red annular macular plaques with central clearing leaving hyperpigmented areas ?Psoriasiform dermatitis ?Purpura annularis telangiectodes (Pigmented pigmented purpura) (sample taken from the red edges)

Join the conversation
You can post now and register later. If you have an account, sign in now to post with your account.