Case Number : CASE 4592 - 29 December 2024 Posted By: Admin_Dermpath
Please read the clinical history and view the images by clicking on them before you proffer your diagnosis.
Submitted Date :
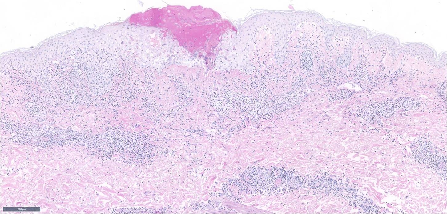
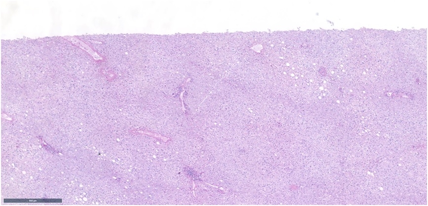
Abdomen 5mm punch biopsy. Active lesion ? papular urticaria

Join the conversation
You can post now and register later. If you have an account, sign in now to post with your account.