Case Number : Case Number : CASE 4572 - 22 December 2024 Posted By: Admin_Dermpath
Please read the clinical history and view the images by clicking on them before you proffer your diagnosis.
Submitted Date :
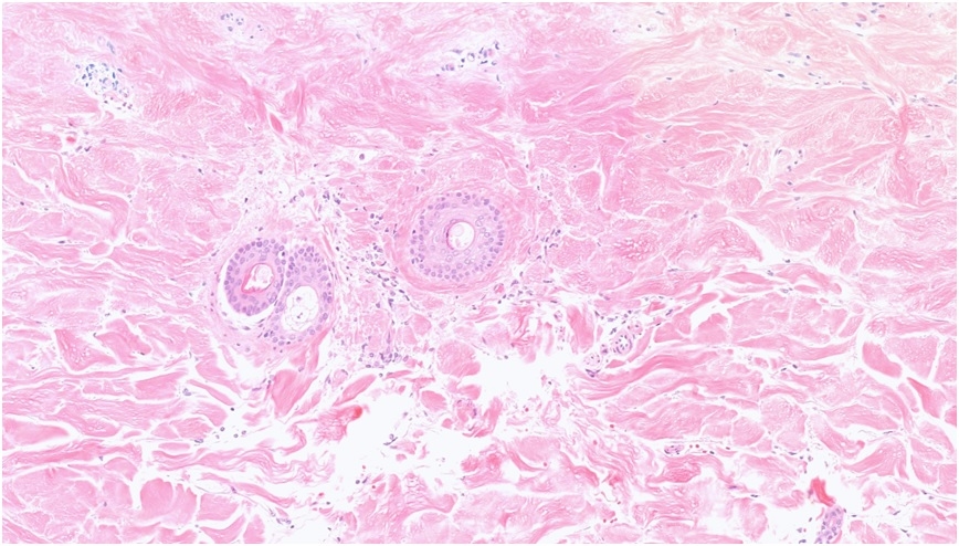
59F, Right lower back Punch biopsy 8 mm 10x3 cm pale depressed plaque ?Lichen Sclerosis ?Morphea

Join the conversation
You can post now and register later. If you have an account, sign in now to post with your account.