Case Number : CASE 4431 - 15 January 2024 Posted By: Dr. Mona Abdel-Halim
Please read the clinical history and view the images by clicking on them before you proffer your diagnosis.
Submitted Date :
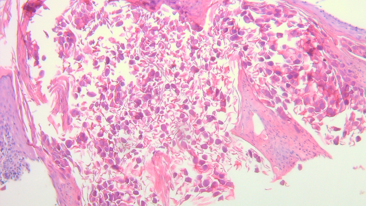
F, 11, lesion on the left lateral brow. DDx: Nevus, JXG, Calcinosis cutis, shave biopsy

Join the conversation
You can post now and register later. If you have an account, sign in now to post with your account.