Case Number : CASE 4475 - 15 March 2024 Posted By: Admin_Dermpath
Please read the clinical history and view the images by clicking on them before you proffer your diagnosis.
Submitted Date :
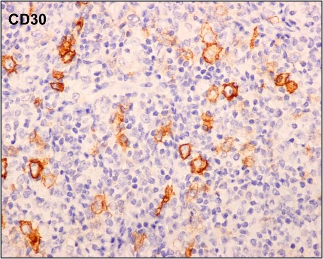
20-year-old woman, single tumour of the nose non regressive after 6 months.
Contributor: Pr. Béatrice VERGIER
Contributor: Pr. Béatrice VERGIER

Join the conversation
You can post now and register later. If you have an account, sign in now to post with your account.