Case Number : CASE 4485 - 29 March 2024 Posted By: Admin_Dermpath
Please read the clinical history and view the images by clicking on them before you proffer your diagnosis.
Submitted Date :
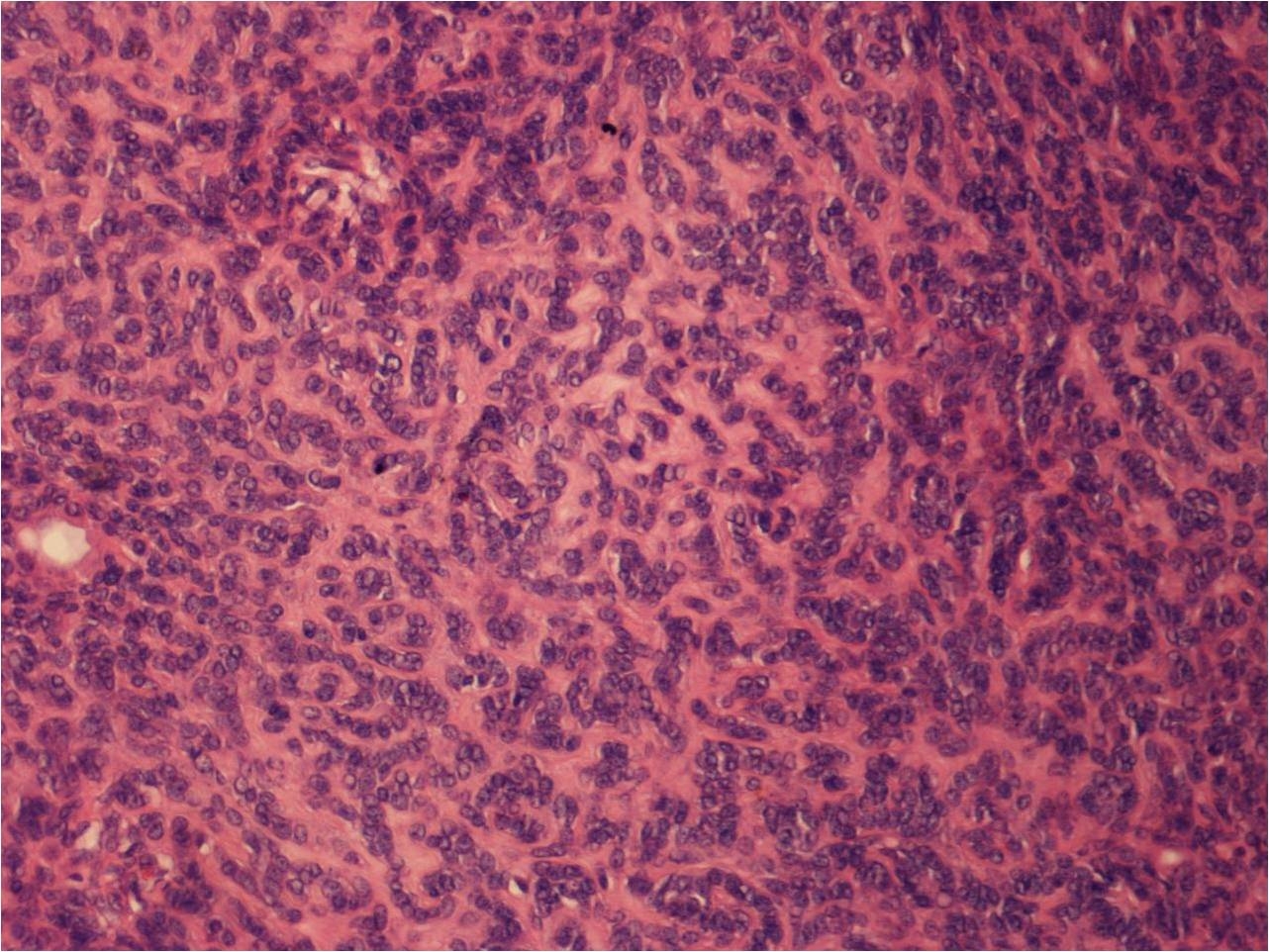
Lesion from the flank of a 46 year old male.
Contributor: Dr Ravi Suchak
Contributor: Dr Ravi Suchak

Join the conversation
You can post now and register later. If you have an account, sign in now to post with your account.