Case Number : Case 4634 Posted By: Admin_Dermpath
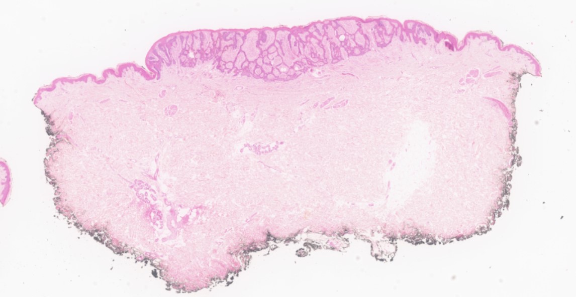
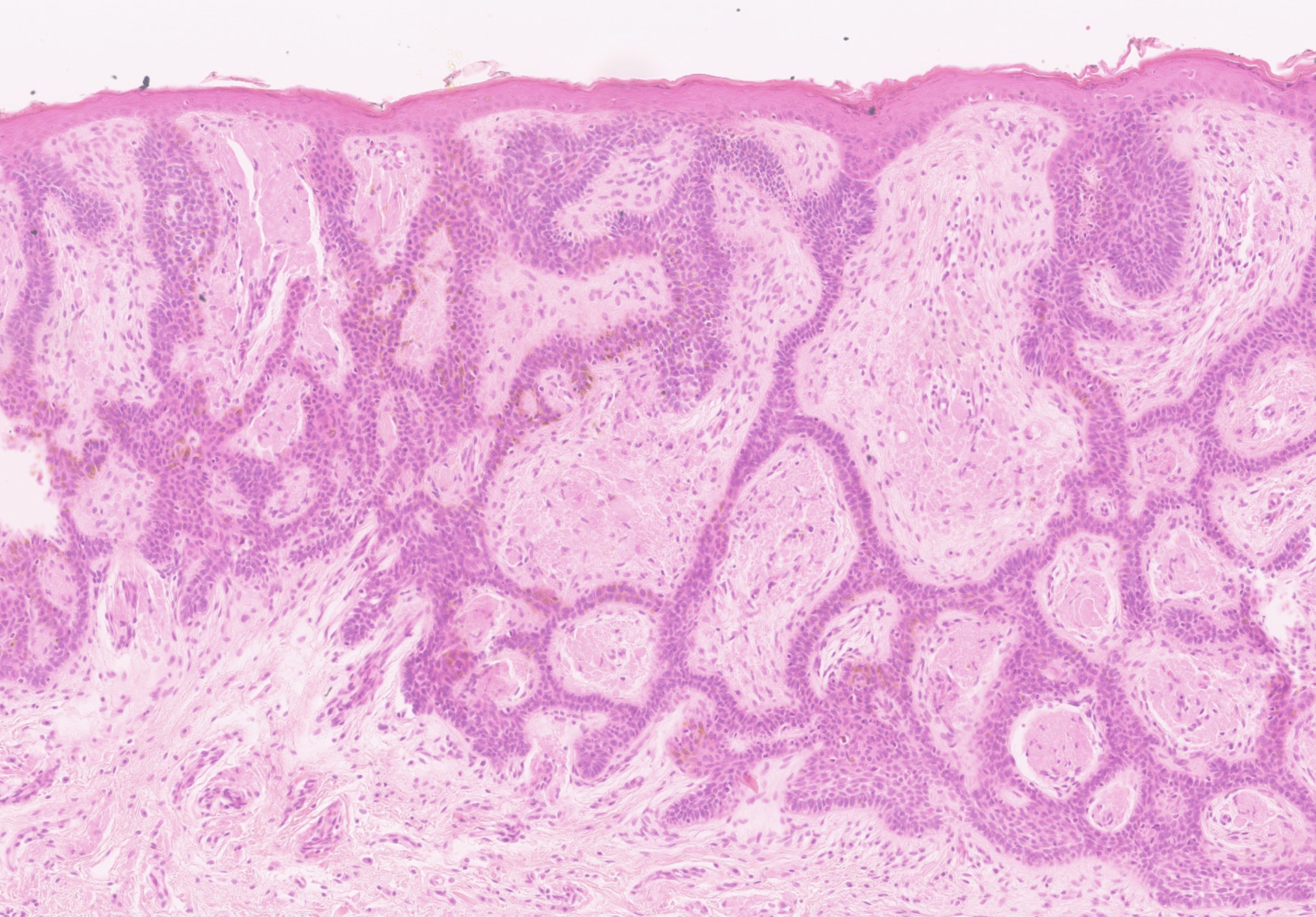
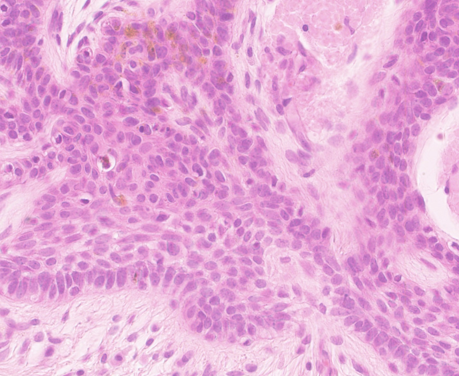
Please read the clinical history and view the images by clicking on them before you proffer your diagnosis.
Submitted Date :
Male 70

There are no comments to display.
Join the conversation
You can post now and register later. If you have an account, sign in now to post with your account.